Broken Britain: London Poverty Crisis Deepens
Shocking new data reveals how areas like Jaywick and London boroughs show escalating deprivation, food bank reliance, and child poverty amid Britain's growing inequality divide.
Shocking new data reveals how areas like Jaywick and London boroughs show escalating deprivation, food bank reliance, and child poverty amid Britain's growing inequality divide.
Reform UK leader Nigel Farage chooses Jaywick, officially England's most deprived area, as backdrop for his Clacton constituency campaign launch, highlighting coastal community struggles.
Shocking new data exposes the stark reality of deprivation across Britain, with some communities facing challenges comparable to developing nations while others enjoy unprecedented prosperity.
Groundbreaking UK research reveals how moderate sleep loss dramatically impairs mental concentration and brain function, with implications for workplace safety and daily performance.
Groundbreaking UK research uncovers how sleep deprivation disrupts brain communication, causing those frustrating mental blanks and attention failures we all experience when tired.
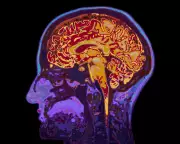
Groundbreaking UK research uncovers disturbing connection between sleep apnoea and potentially dangerous brain changes, urging millions of Britons to take night-time breathing seriously.
Discover the truth about paradoxical insomnia, the mysterious sleep condition where people genuinely believe they're awake all night while actually sleeping. Learn about the science, symptoms, and solutions for this baffling sleep disorder affecting count
New research exposes Britain's sleep crisis as millions struggle with insomnia, stress, and poor sleep quality affecting daily life and wellbeing.
A British man reveals how undiagnosed sleep apnea stole two years of his life, causing crippling exhaustion and memory loss, until a simple NHS test provided the answer.
Leading sleep expert Dr Chester Wu exposes the common bedtime mistakes keeping Britons awake at night and shares simple, science-backed solutions for deeper, more restorative sleep.
Radio presenter Fearne Cotton opens up about experiencing severe sleep deprivation and 'wobbly brain' symptoms after encountering disturbing details of Lostprophets singer Ian Watkins' horrific crimes.
Exclusive investigation reveals how a British mother-of-three died following catastrophic complications during cosmetic surgery in Turkey, as medical experts issue urgent warnings about overseas procedures.
Jaywick in Essex faces brutal criticism in new survey as Britain's worst seaside town, with locals fighting to change its battered reputation against harsh realities.
Shocking new data reveals Birmingham as England's child poverty capital, with nearly half of all children living in deprivation. Exclusive investigation uncovers the human stories behind the statistics.
Big Brother fans erupt in anger after housemate Richard is subjected to extreme sleep deprivation challenge, with viewers calling it 'cruel' and 'torture' in emotional scenes.
An NHS GP reveals why some people seem to catch every bug going around - and the underlying health issues your frequent illnesses might be signalling.
Sleep expert reveals why you keep waking at 2-3AM and what your body's trying to tell you about stress, diet and lifestyle factors affecting your rest.
Groundbreaking research reveals the alarming consequences of sleep deprivation in children, linking insufficient rest to serious physical and mental health issues that could affect their future.
New research reveals the alarming consequences of sleep deprivation in school-aged children and what parents need to know about establishing healthy sleep routines.
Groundbreaking research reveals how chronic sleep problems and insomnia could be prematurely ageing your brain, with worrying implications for long-term cognitive health.
New research reveals the startling connection between sleep deprivation and accelerated brain aging, with experts warning about long-term cognitive consequences.
A startling new report uncovers a UK sleep deprivation epidemic, with a quarter of adults failing to get the recommended seven hours, impacting health and the economy.
Paul Routledge shares his stark perspective on the challenges facing Seaham, County Durham, after a survey labelled it one of Britain's worst places to live.
A father's desperate 3am confrontation with his loud neighbour over sleepless nights has ended in a truce after a video of the clash went viral, sparking a national debate on neighbourly disputes.
New research reveals the alarming health consequences of chronic sleep loss, linking it to anxiety, weight gain, and a weakened immune system. Discover why experts are calling it a silent public health crisis.
A UK resident's life has been turned upside down by a neighbour's bizarre and relentless 2am ritual, causing sleepless nights and raising serious questions about noise pollution and neighbourly respect.
Shocking new analysis reveals the UK's poorest areas have remained trapped in deprivation since the Victorian era, with government policies consistently failing to bridge the divide.
Groundbreaking research establishes a strong link between long-term sleep deprivation and a heightened risk of developing dementia, urging a focus on sleep health as a preventive measure.
Discover the startling truth about your sleep needs with this simple daytime test. Sleep experts reveal why you might need more rest than you think and how to instantly check your sleep debt.
The NHS is urging Britons to adopt a straightforward lifestyle change to combat insomnia and daytime tiredness. Discover how this simple adjustment could transform your sleep quality and overall wellbeing.