Grey Hair Linked to Cancer Protection in New Study
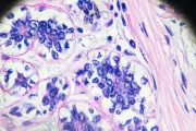
Groundbreaking research reveals the cellular mechanism behind hair greying may actually help shield the body from cancer development, turning conventional wisdom on its head.
Groundbreaking research reveals the cellular mechanism behind hair greying may actually help shield the body from cancer development, turning conventional wisdom on its head.
Groundbreaking research suggests men with higher BMI measurements may face unexpected anatomical differences that could impact intimate health and confidence.
New research shows even minimal weekly walking delivers significant health benefits, challenging conventional exercise guidelines and offering hope for sedentary individuals.
A landmark study uncovers a dramatic generational divide in sexual activity, with Britons over 70 reporting more active sex lives than their Gen Z grandchildren. Experts point to technology, economic pressures, and shifting social norms as key factors in
Groundbreaking Oxford research reveals a strong link between long-term use of a specific, widely-used painkiller and a dramatically increased risk of developing dementia.
New psychology research reveals that lengthy, detailed apologies are perceived as significantly more sincere than brief ones, challenging conventional communication wisdom.
Groundbreaking research from the University of London uncovers the key psychological elements that separate effective, heartfelt apologies from those that fall flat and feel insincere.
New research from top universities shows dramatic lifespan extension is possible through targeted interventions. Discover the science behind living longer and healthier.
A groundbreaking £10m study will track 30,000 babies across the UK from birth to map their health, development, and environment, aiming to tackle major childhood inequalities.
Groundbreaking UK research uncovers the key personality characteristics associated with longevity, offering fresh insights into how our traits influence lifespan beyond genetics and lifestyle.
A groundbreaking study challenges NHS dietary advice, suggesting full-fat milk may not harm heart health as previously thought. Discover the latest findings on dairy and cardiovascular wellness.
A Yale University study shows Trump's tariffs on China hurt the US economy, leading to job losses and higher consumer prices without achieving strategic goals.
Research shows that smartwatches provide limited accuracy in measuring stress levels, raising questions about their reliability for health monitoring.
A new Yale analysis shows that Donald Trump's trade tariffs failed to boost US manufacturing jobs and instead raised consumer prices, contributing to inflation.
A revolutionary Harvard study suggests low-dose lithium may reverse Alzheimer's damage, offering new hope for millions. Discover the science behind this potential breakthrough.
A groundbreaking study suggests that a key ingredient in chocolate, theobromine, may help combat flu symptoms more effectively than traditional treatments.
A groundbreaking study suggests that the shingles vaccine may significantly reduce the risk of developing dementia, offering new hope for preventative healthcare strategies.
A recent study highlights how breast cancer symptoms are being misdiagnosed as COVID-19 or flu, delaying crucial treatment. Experts urge awareness to prevent life-threatening consequences.
A groundbreaking study challenges long-held beliefs about dairy fat, suggesting full-fat milk may not harm heart health as previously thought. Discover the latest findings reshaping nutritional guidelines.
New research suggests that immersing yourself in natural environments can significantly improve mental health and reduce symptoms of depression.
A major study reveals shocking links between ultra-processed foods and serious health risks, urging immediate dietary changes.
A Palestinian doctor flees Gaza's collapsing medical infrastructure to study in Australia, aiming to return and rebuild his homeland's healthcare system.
A conservative education leader, known for pushing strict Bible studies in schools, has been exposed for watching explicit content during work hours.
A groundbreaking study suggests that playing tennis for just 11 minutes a day could add up to a decade to your lifespan. Discover how this fun and social sport boosts longevity.
A new study suggests a trendy health food, beloved by affluent Americans, may be linked to the development of ALS (Lou Gehrig’s disease). Researchers warn of potential risks—could your diet be putting you in danger?
A groundbreaking study reveals how a female gorilla used intelligence and agility to dominate larger males, reshaping our understanding of primate hierarchies.
New research warns that long-term exposure to air pollution may significantly increase the likelihood of developing dementia, with vulnerable groups most at risk.
A groundbreaking study on the Shroud of Turin has reignited debates over its authenticity, with researchers suggesting it may indeed be the burial cloth of Jesus Christ.
New research suggests frequent consumption of french fries may increase the risk of type 2 diabetes. Discover the findings and healthier alternatives.
A groundbreaking study has identified key genetic markers linked to Myalgic Encephalomyelitis (ME/CFS), offering new hope for understanding this debilitating condition.